| 年齢 | 40代 |
|---|---|
| 性別 | 女性 |
| 費用 | インプラント治療(上部ジルコニア含め) 451,000円 骨造成 132,000円 |
| 治療期間 | 4ヵ月 治療回数 6回 |
| 副作用・リスク | ・経年的に歯茎が下がる事があります ・定期的にメンテナンスを行わず清掃不良の場合、インプラント周囲炎になり脱離する事があります ・骨としっかり結合せず、再オペが必要になる事があります ・糖尿病など、全身状態によっては治療が難しくなります ・骨の量によっては行う事が出来ない可能性があります |
割れた前歯を抜歯即時インプラントで治療した症例
こちらの患者さまは前歯が割れたとの事で来院いただきました。
まずはCT写真にて骨の状態を確認し、治療方針の説明から始まりました。相談の結果、患者さまがインプラント治療をご希望されたので、歯を抜いてインプラントオペを行っていく事になりました。
前歯の場合は骨が薄いため、歯を抜くと骨が一気に痩せてしまう事が多いので抜歯即時埋入を行っていきました。

まずは歯を抜き、中の骨面を時間をかけて綺麗にし、そこから人工の根を入れていきました。

その後、骨補填材を歯と骨の間のスペースに入れ特殊な膜で覆っていきました。今回は歯茎が下がるのをなるべく防ぐために切開範囲を最小限に抑え、オープンメンブレン法にてオペを行いました。4ヶ月の待機期間は仮の歯を作成し両サイドの歯につけて見た目の回復を行いました。

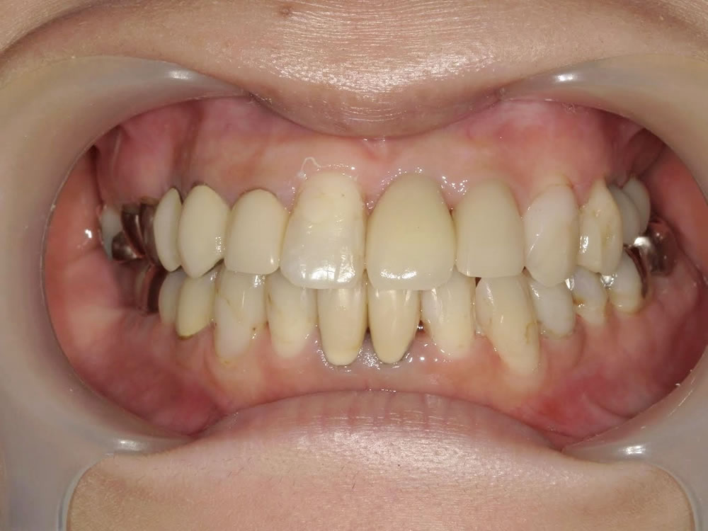
治療完了
待機期間を経て、最終的な上部構造を装着し、咬み合わせを調整して治療完了です。
隣接歯の歯茎が下がる事なく綺麗な見た目に仕上げる事ができました。



