
矯正無料カウンセリング
理事長のみでの対応

骨が少ないと断られた方も、
諦める前に一度お越しください
インプラント治療の実績1000本以上、
難症例もご相談ください



豊富な経験を持つ院長が、インプラント治療を担当します。CTによる精密な検査・診断に基づき、安全性を第一に考えた治療計画を立てます。骨の量が少ないなどの理由で他院にて治療が難しいと判断された場合でも、骨を増やす処置などを用いて対応できる可能性があります。まずは無料相談にお越しください。

見た目を気にせず、美しい歯並びと正しい噛み合わせへ
目立たないマウスピース矯正
インビザライン
当院では、透明で目立ちにくく、取り外しも可能なマウスピース型矯正装置「インビザライン」を専門に扱っています。CT撮影で骨の状態まで詳細に把握し、より安全で確実な治療計画を作成します。矯正中に虫歯ができてしまっても院内で対応が可能です。口元の見た目はもちろん、機能面も重視した矯正治療を行います。



実績8000本以上のセラミック。自然で美しい口元へ
機能性と審美性を両立させた、オーダーメイドの白い歯

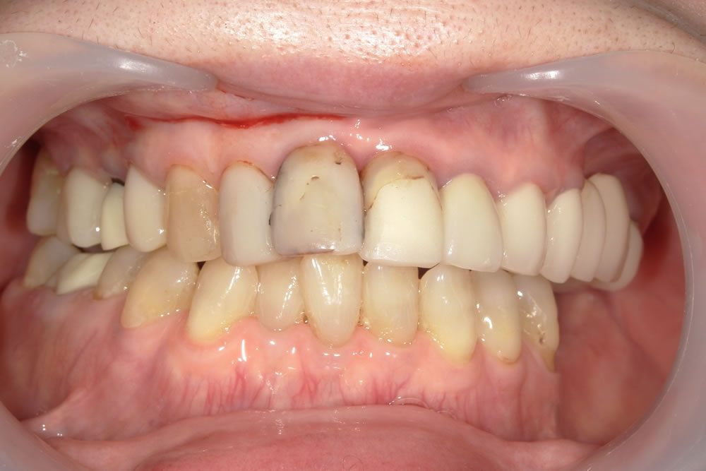
セラミック治療
銀歯を白くしたい、歯の色や形を整えたい、といったご希望に応えるのがセラミック治療です。見た目の美しさはもちろん、金属アレルギーの心配がなく、汚れが付着しにくいため虫歯の再発リスクを抑えられるという利点もあります。豊富な実績に基づき、一人ひとりの歯の色や形に調和した、自然な仕上がりを追求します。
勘や経験だけに頼らない、正確性の高い治療を追求します
CT・マイクロスコープによる精密歯科治療

精密
歯科治療
肉眼では見えない部分まで詳細に把握するため、先進的な設備を導入しています。歯科用CTは、顎の骨の構造や神経の位置などを立体的に可視化します。マイクロスコープ(歯科用顕微鏡)は視野を最大20倍まで拡大し、虫歯の取り残しや再発を防ぎ、治療の精度を飛躍的に向上させます。
全室完全個室で、心からリラックスできる空間作り
リゾートホテルのような院内

全室
完全個室
歯科医院特有の緊張感を和らげるため、院内はリゾートホテルをイメージしたデザインに統一しました。診療室はすべてプライバシーが守られる完全個室です。他の患者様の目を気にすることなく、お悩みをご相談いただけます。部屋ごとに異なるデザインも、通院の際のささやかな楽しみになれば幸いです。


キッズコーナー・全室完全個室
キッズコーナー完備・完全個室で
快適な治療が可能な歯科医院

祐天寺歯科では、小さなお子様からご年配の方まで幅広い年代の患者さまが通院されております。患者さまに快適に治療を受けていただけるよう、当院ではキッズコーナーの完備をはじめ、プライバシーに配慮した全室個室の診療室となっております。

絵本やおもちゃ
キッズコーナーには絵本やおもちゃをご用意しております。

親御さんも一緒に遊べます
キッズコーナーでは、親御さんも一緒に遊んでいただけます。





歯科治療への想い
当院のインプラント治療が選ばれる理由
祐天寺歯科では、歯を失った際の治療法の一つとしてインプラント治療をおすすめしております。当院では患者さまが不安なく治療に臨めるよう、インプラントの無料相談をはじめ、CTでの精密検査など、手術時のトラブル軽減はもちろん、審美性や長持ちにこだわった精密なインプラント治療に努めております。
難症例の
実績も多数
CTで骨格から
精密診断
院内で虫歯
治療も完結
祐天寺歯科では、歯を失った際の治療法の一つとしてインプラント治療をおすすめしております。当院では患者さまが不安なく治療に臨めるよう、インプラントの無料相談をはじめ、CTでの精密検査など、手術時のトラブル軽減はもちろん、審美性や長持ちにこだわった精密なインプラント治療に努めております。
リスクを
軽減
祐天寺歯科では、インプラント治療に伴う
リスク・トラブルの軽減に努めております。

インプラント手術を実施する際は、事前にCTによる精密検査を行います。

インプラント手術では、オペ専用ルームを完備

負担の少ない特殊なインプラント治療にも対応

MEDICAL
INFORMATION1
歯を残して守る
MEDICAL
INFORMATION2
歯を美しくする


ただなわデンタルクリニック祐天寺歯科/理事長
忠縄 龍哉
TATSUYA TADANAWA愛知学院大学歯学部 卒業
日本大学歯学部付属歯科病院にて勤務
都内(亀戸)にて地域に根付いた診療を行い訪問診療にも従事
都内大型医療法人インプラントセンターにて勤務
ただなわデンタルクリニック下北沢歯科医院 開院
ただなわデンタルクリニック祐天寺歯科 開院
当院で一緒に働きませんか?
STAFF募集中!
当医院では、集患増加にともない新しいスタッフを募集しています。
詳細は各職種よりご確認ください。院内見学やお問い合わせもお気軽にご連絡ください。皆様からのご応募、お待ちしております。






































