キッズコーナー・全室完全個室|祐天寺の歯医者|祐天寺歯科
03-5725-1880
平日(土曜)10:00〜13:30 15:00〜19:00
日曜・祝日 09:00〜13:00 14:00〜18:00
水曜休診
ホーム
医院紹介
設備紹介
料金表
よくある質問
お知らせ
コラム
初診案内
理事長あいさつ
スタッフ紹介
治療メニュー
虫歯治療・根管治療
歯周病治療・歯茎の再生治療
成人矯正(マウスピース矯正)
小児歯科・小児矯正治療
審美治療
ホワイトニング
予防歯科・クリーニング
口腔外科・親知らず治療
噛み合わせ・顎関節症治療
インプラント治療
ガムピーリング(歯茎の色素沈着除去)
入れ歯治療
ボツリヌス治療
口臭治療
症例
インプラント
マウスピース矯正
むし歯治療
入れ歯治療
審美歯科
歯周病治療
矯正治療
アクセス
求人
歯科助手・受付
キッズコーナー・全室完全個室|祐天寺の歯医者|祐天寺歯科
ホーム
医院紹介
設備紹介
料金表
よくある質問
お知らせ
コラム
初診案内
理事長あいさつ
スタッフ紹介
治療メニュー
虫歯治療・根管治療
歯周病治療・歯茎の再生治療
成人矯正(マウスピース矯正)
小児歯科・小児矯正治療
審美治療
ホワイトニング
予防歯科・クリーニング
口腔外科・親知らず治療
噛み合わせ・顎関節症治療
インプラント治療
ガムピーリング(歯茎の色素沈着除去)
入れ歯治療
ボツリヌス治療
口臭治療
症例
インプラント
マウスピース矯正
むし歯治療
入れ歯治療
審美歯科
歯周病治療
矯正治療
アクセス
求人
歯科助手・受付
TOP
>
症例
>
インプラント
症例一覧
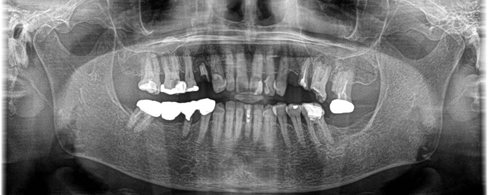
右上奥歯の欠損部分をインプラントで治療した症例
年齢
60代
性別
男性
症例を見る
歯根破折した歯を抜歯してインプラント治療を行った症例
年齢
30代
性別
男性
症例を見る
破折したインプラントを取り除いて再治療した症例
年齢
40代
性別
男性
症例を見る
インプラント治療で抜歯した部分の咬み合わせを回復した症例
年齢
50代
性別
男性
症例を見る
歯根破折した歯を抜歯してインプラントで治療した症例
年齢
40代
性別
女性
症例を見る
歯根に膿が溜まった歯を抜歯してインプラントで治療した症例
年齢
20代
性別
男性
症例を見る
他院で抜歯した部分をインプラントで修復した症例
年齢
20代
性別
女性
症例を見る
保存不可能な歯を抜歯後にインプラントで治療した症例
年齢
80代
性別
女性
症例を見る
破折歯を抜歯後にインプラントで咬み合わせを改善した症例
年齢
30代
性別
男性
症例を見る
痛みのある歯を抜歯してインプラントで治療した症例
年齢
60代
性別
女性
症例を見る
カテゴリー
インプラント
マウスピース矯正
むし歯治療
入れ歯治療
審美歯科
矯正治療
1 / 3
1
2
3
»