| 年齢 | 80代 |
|---|---|
| 性別 | 女性 |
| 費用 | 右上7 インプラント大臼歯 407,000円(上部構造含む) 右上4 インプラント小臼歯 429,000円(上部構造含む) 左上4.5 インプラント小臼歯 429,000円×2(上部構造含む) 左上6 インプラント大臼歯 407,000円(上部構造含む) 骨造成 165,000円 |
| 治療期間 | 約8ヵ月 |
| 治療回数 | 8回 |
| 副作用・リスク | ・経年的に歯茎が下がる事があります ・定期的にメンテナンスを行わず清掃不良の場合、インプラント周囲炎にな り脱離する事があります ・骨としっかり結合せず、再オペが必要になる事があります ・糖尿病など、全身状態によっては治療が難しくなります ・骨の量によっては行う事が出来ない可能性があります |
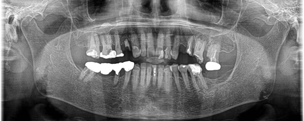
保存不可能な歯を抜歯後にインプラントで治療した症例

こちらはの患者さまは、当院にてインプラント治療を行った方のご紹介で歯がない部位や抜歯が必要な部位にインプラントを入れたいとのことで来院されました。
インプラント治療の実施


歯医者がかなり久々とのことで、むし歯により歯が根本から折れてしまった部位や、むし歯が大きく感染をおこしてしまい残すことができない歯を抜歯し、インプラントを埋入しました。
感染により骨が大きく損失してしまっている部位には骨造成を同時に行い、なるべくインプラントの持ちが良くなるようにしました。治療後は今まで噛むことが出来なかった部位でしっかりと噛むことが出来るようになり、大変満足していただいております。

治療から3年が経った今でも、歯科衛生士の指導のもと定期的にクリーニングに通っていただいているため、治療直後と変わらずしっかりと噛むことができ、きれいな状態を保てています。
治療後のケアをしっかりとすることによりインプラントの持ちに大きく差が出るため、術後のケアは何よりも重要です。定期的なケアを行うことで何年経っても良い状態を保ち、インプラントを長く使っていただけるようにおすすめしています。

