キッズコーナー・全室完全個室|祐天寺の歯医者|祐天寺歯科
03-5725-1880
平日(土曜)10:00〜13:30 15:00〜19:00
日曜・祝日 09:00〜13:00 14:00〜18:00
水曜休診
ホーム
医院紹介
設備紹介
料金表
よくある質問
お知らせ
コラム
症例
初診案内
理事長あいさつ
スタッフ紹介
治療メニュー
虫歯治療・根管治療
歯周病治療・歯茎の再生治療
成人矯正(マウスピース矯正)
小児歯科・小児矯正治療
審美治療
ホワイトニング
予防歯科・クリーニング
口腔外科・親知らず治療
噛み合わせ・顎関節症治療
インプラント治療
ガムピーリング(歯茎の色素沈着除去)
入れ歯治療
ボツリヌス治療
口臭治療
アクセス
求人
歯科助手・受付
キッズコーナー・全室完全個室|祐天寺の歯医者|祐天寺歯科
ホーム
医院紹介
設備紹介
料金表
よくある質問
お知らせ
コラム
症例
初診案内
理事長あいさつ
スタッフ紹介
治療メニュー
虫歯治療・根管治療
歯周病治療・歯茎の再生治療
成人矯正(マウスピース矯正)
小児歯科・小児矯正治療
審美治療
ホワイトニング
予防歯科・クリーニング
口腔外科・親知らず治療
噛み合わせ・顎関節症治療
インプラント治療
ガムピーリング(歯茎の色素沈着除去)
入れ歯治療
ボツリヌス治療
口臭治療
アクセス
求人
歯科助手・受付
TOP
>
症例
>
ページ 4
症例一覧
エアフローによる低侵襲な歯面清掃の症例
年齢
30代
性別
男性
症例を見る
矯正前にエアフローで歯の着色を取り除いた症例
年齢
30代
性別
女性
症例を見る
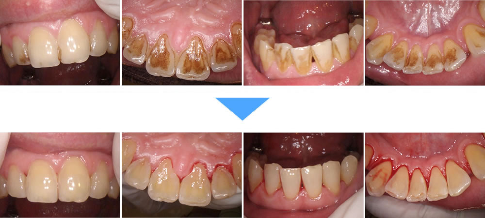
タバコのヤニ・着色汚れをエアフローで改善した症例
年齢
40代
性別
男性
症例を見る
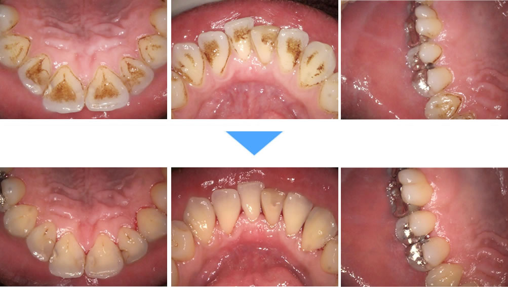
気になる歯の着色汚れをエアフローで除去した症例
年齢
30代
性別
男性
症例を見る
入れ歯とオールオン8による全顎治療の症例
年齢
50代
性別
男性
症例を見る
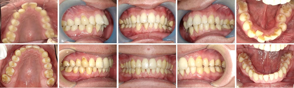
マウスピース矯正(インビザライン)で反対咬合・ガタツキを改善した症例
年齢
50代
性別
女性
症例を見る
マウスピース矯正(インビザライン)で過蓋咬合・前歯の叢生を改善した症例
年齢
30代
性別
男性
症例を見る
マウスピース矯正(インビザライン)で叢生を改善した症例
年齢
30代
性別
男性
症例を見る
セラミック矯正で反対咬合を改善した症例
年齢
40代
性別
男性
症例を見る
痛む歯を抜歯してインプラントで治療した症例
年齢
40代
性別
男性
症例を見る
4 / 7
« 先頭
«
...
2
3
4
5
6
...
»
最後 »