| 年齢 | 30代 |
|---|---|
| 性別 | 男性 |
| 費用 | 矯正検査料 33,000円 インビザラインフル 902,000円(上下リテーナー1セット込み) 管理料/調整料 5,500円(2ヵ月に1回) |
| 治療期間 | 1年8ヵ月 |
| 副作用・リスク | 虫歯、歯肉炎、歯の変色、歯根吸収、歯肉退縮、治療期間の延長、知覚過敏、歯の痛み、顎の痛み、発音障害、装置除去時の歯の亀裂、その他随伴症状が生じる可能性があります。 |
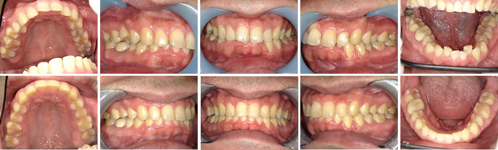
インビザラインで過蓋咬合・前歯の叢生を改善した症例

こちらの患者さまは噛み合わせが深い状態(過蓋咬合)と前歯の叢生、全体的な噛み合わせを綺麗にしていきたいとの事で矯正治療を行う事になりました。
マウスピース型矯正装置としてインビザラインにて矯正を行いました。
結果、綺麗な歯並び、咬合になり笑顔もより綺麗にする事ができました。
保定装置としてマウスピース型リテーナーを作成しました。

