| 年齢 | 30代 |
|---|---|
| 性別 | 男性 |
| 費用 | 矯正検査料 33,000円 インビザラインフル 902,000円(上下リテーナー1セット込み) 管理料/調整料 5,500円(2ヵ月に1回) |
| 治療期間 | 2年6ヵ月 |
| 副作用・リスク | 虫歯、歯肉炎、歯の変色、歯根吸収、歯肉退縮、治療期間の延長、知覚過敏、歯の痛み、顎の痛み、発音障害、装置除去時の歯の亀裂、その他随伴症状が生じる可能性があります。 |
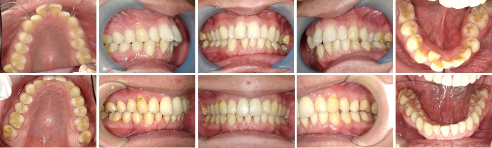
インビザラインで叢生を改善した症例

こちらの患者さまは歯のガタツキ(叢生)を綺麗にしたいとの事でインビザライン矯正を行いました。
今回は抜歯をする事なく、IPRと後方移動、歯列弓が細くなっていたので、歯列弓拡大を行いスペースメイキングをし歯を並べていく事にしました。
結果、咬合も安定し、綺麗な歯並びになり、笑顔がより綺麗になりました。
保定装置としてはマウスピース型リテーナーを作成しました。

