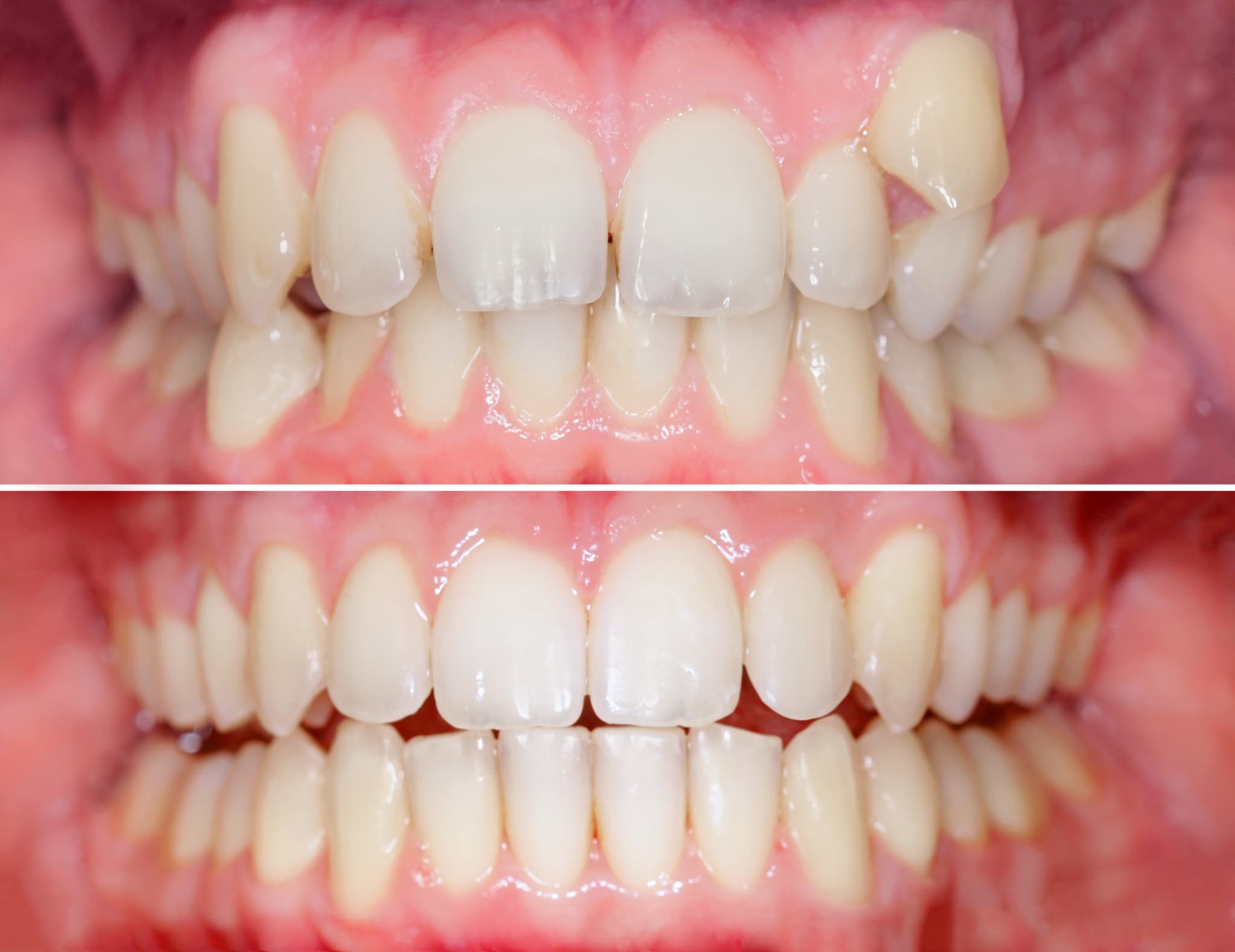
矯正治療で抜歯をするケースとは?抜歯をするメリットも
こんにちは。目黒区五本木、東急東横線「祐天寺駅」より徒歩4分にある歯医者「ただなわデンタルクリニック祐天寺歯科」です。
矯正治療を受ける方のなかには「矯正では必ず歯を抜く必要があるの?」といった疑問をおもちの方も多いのではないでしょうか。
実際、矯正治療では歯を並べるスペースを確保するために抜歯を行うケースがありますが、すべての患者さまが対象になるわけではありません。抜歯をするかどうかは、歯並びの状態によって異なります。
今回は、矯正治療で歯を抜く必要があるケースや不要なケース、抜歯のメリットなどについて解説します。矯正治療を検討されている方は、ぜひ参考にしてください。
矯正治療で抜歯をするケース

矯正治療において、すべての症例で抜歯が必要になるわけではありませんが、歯並びの状態によっては抜歯を行うほうがより良い結果につながる場合があります。ここでは、歯を抜くことが推奨される代表的なケースをご紹介します。
歯を並べるスペースが足りない場合
歯の大きさに対して顎のスペースが不足している場合、歯が重なり合って生えることがあります。これを、叢生といいます。
このような状態では、すべての歯を無理に並べようとすると、歯列が外側へ広がり、口元の突出感が強くなる可能性があります。そのため、特定の歯を抜くことで適切な空間を確保し、歯をバランスよく整列させる方法が選択されます。
特に前歯の重なりが強い場合や、歯列全体にスペース不足が見られる場合に検討されることが多いです。
前歯が大きく突出している場合
前歯が大きく前に突出していると、見た目の印象に大きく影響し、口が閉じにくい、発音がしにくいといった機能面の問題も生じやすくなります。
特に出っ歯(上顎前突)では、上の前歯が強く前方に傾いていることが原因であることが多く、その位置を後方に移動させるためのスペースを確保する必要があります。こうした症例では、小臼歯などを抜くことで空間をつくり、前歯を適切な位置に移動させる治療が行われます。
見た目の改善だけでなく、噛み合わせや口の閉じやすさといった機能面の回復も期待できます。
噛み合わせが大きくずれている場合
上下の歯の位置関係が大きくずれている場合、単純に歯を動かすだけでは理想的な噛み合わせに近づけることが難しい場合があります。
例えば、上下の歯の前後差が大きいケースや、顎の大きさに差がある場合などです。このような場合、抜歯を行い、歯を移動させるスペースを確保することで、全体のバランスを整えやすくなります。
噛み合わせの改善は見た目だけでなく、咀嚼機能や顎関節への負担軽減にもつながるため、慎重な判断が求められます。
抜歯をしないで歯並びを治せるケース

歯並びの状態や顎の大きさによっては、抜歯をしなくても矯正治療が行える場合があります。以下では、抜歯をせずに矯正ができる具体的なケースをご紹介します。
軽度の叢生
歯の重なりが軽い場合には、歯と歯の間をわずかに削る処置などによって、抜歯を行わずに歯列を整えることが可能です。数ミリ程度のスペース不足であれば、歯の移動を工夫することで全体のバランスを保ちながら歯並びの改善が図れます。
また、歯の向きや位置を細かく整えることで、見た目と噛み合わせの両面に配慮した仕上がりが期待できます。
ただし、歯の大きさや顎の状態などによって治療方針は異なるため、個々の状態に応じた診断が重要です。
顎の成長が活発な時期
子どもの場合、顎の骨が発達していく途中にあるため、その成長を利用して歯が並ぶスペースを確保できる場合があります。
この時期に矯正治療を行うことで、歯が自然に並びやすい環境を整えることができ、将来的な抜歯の必要性を抑えられる可能性があります。また、顎のバランスを整えることで、噛み合わせのズレも改善しやすくなります。
ただし、成長の進み方には個人差があるため、適切なタイミングを見極めるための診断が重要です。
矯正治療で抜歯をするメリット

矯正治療における抜歯には、見た目だけでなく機能面にもさまざまな利点があります。ここでは、具体的なメリットを見ていきましょう。
口元のバランスが整う
歯が前に出ていると、口元がふくらんで見えたり、唇が閉じにくくなったりすることがあります。そのような場合、矯正治療で抜歯を行い、歯を後方に下げるように整えると、横顔や口元のラインがすっきり見えるようになります。
上の前歯が出ている出っ歯の場合、口元が突出して見える原因になります。抜歯によってスペースを作ることで、前歯をうしろへ移動させられるため、自然で引き締まった口元に近づけることができるのです。
噛み合わせの改善につながる
抜歯をして歯列のスペース不足を解消することで、上下の歯が正しく噛み合う状態へ導きやすくなります。
噛み合わせが整うと、食べ物を効率よく噛めるようになり、消化への負担軽減にもつながります。また、特定の歯にかかる力の偏りが減少するため、歯の寿命にも良い影響が期待できるでしょう。
後戻りを防ぎやすい
矯正治療で一度整えた歯並びも、時間が経つと元の位置に戻ろうとすることがあります。これを後戻りといい、特にスペースが不足している口腔内では起こりやすいとされています。
あらかじめ必要なスペースを確保するために抜歯を行っておくことで、歯が無理なく定位置に並び、後戻りのリスクを抑えることができます。長期的な安定性を考えるうえでも、抜歯には大きな利点があるといえるでしょう。
矯正治療で抜歯をするリスク

矯正治療における抜歯には多くの利点がありますが、メリットばかりではなく、いくつかのリスクや注意点も存在します。ここでは、代表的なリスクをいくつかご紹介します。
抜歯に伴う痛みや腫れが現れることがある
抜歯は歯を取り除く処置であるため、処置後に痛みや腫れが出ることがあります。多くの場合は数日ほどで徐々に落ち着いていきますが、痛みの感じ方や腫れの程度には個人差があります。また、傷口の状態によっては違和感がしばらく続くこともあります。
処置後は無理に触れたりせず、歯科医師から説明された注意点を守りながら過ごすことが大切です。適切なケアを行うことで、回復をスムーズに進めやすくなります。
一時的に目立つことがある
抜歯をすると、その部分に一時的なすき間ができるため、治療の初期は見た目が気になることがあります。特に前歯に近い場所の場合、話すときや笑ったときに見えやすく、人によっては気になりやすいポイントになります。
ただし、このすき間は歯が少しずつ動くことで自然に埋まっていきます。そのため、ずっと目立つ状態が続くわけではありません。これはあくまで一時的な過程であり、矯正が進むにつれて自然と解消されていきます。
心理的な負担がある
抜歯は、心理的な負担が大きい処置の一つです。歯を抜くことに対して不安や恐怖を感じる方は少なくありません。また、抜歯後に空いたスペースを見て、不自然さを感じたり、人前で話すことや笑うことに抵抗を感じたりする方もいるかもしれません。
矯正治療に対するモチベーションを維持するためには、抜歯の意義や治療の全体像について十分な説明を受け、納得したうえで進めることが大切です。
まとめ

矯正治療において抜歯を行うかどうかは、歯並びや顎の大きさ、噛み合わせの状態などによって判断されます。抜歯をすることで歯をきれいに並べやすくなり、噛み合わせや口元のバランスも整いやすくなるというメリットがあります。
一方で、痛みや腫れが出る可能性がある、一時的に抜歯箇所が目立つことがあるなど、リスクも存在します。そのため、抜歯をするかどうかは、矯正治療の目的や患者さんの希望、口の中の状態を踏まえて慎重に検討することが大切です。
納得のいく治療を受けるためにも、歯科医師としっかり相談しながら、自分に合った方法を選びましょう。
矯正治療を検討されている方は、目黒区五本木、東急東横線「祐天寺駅」より徒歩4分にある歯医者「ただなわデンタルクリニック祐天寺歯科」にお気軽にご相談ください。
当院では、皆様と真の信頼関係を築くために、初診のカウンセリングから精密な治療、治療後の予防・クリーニングに至るまで、すべての時間を歯科医師が一貫して担当しています。虫歯・歯周病治療だけでなく、矯正治療やインプラント治療などにも力を入れています。

■この記事の監修者
忠縄 龍哉(ただなわ たつや)
経歴
- 愛知学院大学歯学部 卒業
- 日本大学歯学部付属歯科病院にて勤務
- 都内歯科医院にて地域医療に従事(訪問診療含む)
- 都内大型医療法人インプラントセンターにて勤務
- ただなわデンタルクリニック下北沢歯科医院 開院
- ただなわデンタルクリニック祐天寺歯科 開院
修了研修・学会等
- 日本口腔インプラント学会 所属
- 日本顎咬合学会 所属
- 日本審美歯科学会 所属
- UCLAインプラントプログラム 修了
- サイナスリフトオペプログラム 修了
- ノーベル・バイオケア 認定
- オステムインプラント臨床研修歯科医院
- インビザライン矯正認定ドクター

