歯科医師がセラミックのつめ物・かぶせ物を推奨する理由とは?
歯科医師がセラミックのつめ物・かぶせ物を推奨する理由について

祐天寺駅すぐの歯医者「祐天寺歯科」の歯科衛生士です。
虫歯治療などで歯を削った際は、つめ物・かぶせ物で修復します。つめ物・かぶせ物の素材については、保険適用の銀歯やプラスチックをはじめ、自費診療の扱いとなるセラミックなどがあり、患者さまご自身で選択することができます。
その中でもセラミックの歯は見た目が良いという特徴の他にも様々なメリットがあるため、多くの歯科医師が推奨しています。
そこで今回のブログでは、歯科医師がセラミックの歯を推奨する理由についてお話したいと思います。セラミックの歯をおすすめする理由については下記のようなことが挙げられます。
天然歯のような自然な見た目になる
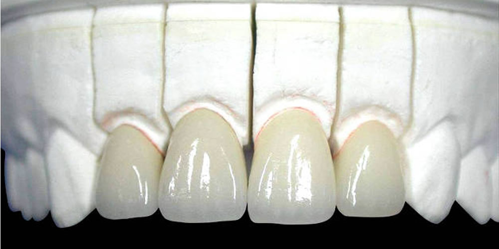
セラミックは天然歯に近い質感で透明感があります。セラミックは白いので銀歯のようにお口を開けた際も目立つことはありません。また、周囲の歯に合わせて色調を調整できるため、自然な仕上がりになります。
虫歯が再発しにくい
保険適用の銀歯やプラスチックは長期間使用することによって、変形したり、接着剤が劣化したりするため、土台の歯との間に隙間が生じることがあり、その隙間に食べかすが蓄積したり、細菌が侵入して虫歯が再発するリスクが高くなります。一方、セラミックの歯は変形することがなく、土台の歯との適合性を保つことができ、さらに汚れも付着しにくい素材のため、虫歯の再発リスクが低いことが特徴です。
耐久性が高く長持ちしやすい
プラスチックのつめ物・かぶせ物は吸水性が高いため、経年によって黄ばみや変色が生じます。一方、セラミックは経年による変形や変色がほとんどなく耐久性が高いため、きちんとケアをすることによって半永久的に審美性を保つことができます。
金属アレルギーのリスクがない
セラミックはお茶碗やお皿などの同じ陶器です。金属を一切使用していないため、長期間使用しても金属アレルギーを引き起こすリスクがありません。
歯茎が黒くならない
保険適用の銀歯は長期間お口の中に入れていると、唾液によって金属イオンが溶け出すため、歯茎が黒ずんでしまいます。セラミックのみを使用したつめ物・かぶせ物については、金属を使用していないため、歯茎が黒ずむこともありません。
祐天寺でセラミック治療なら祐天寺歯科までお気軽にご相談ください。

■この記事の監修者
忠縄 龍哉(ただなわ たつや)
経歴
- 愛知学院大学歯学部 卒業
- 日本大学歯学部付属歯科病院にて勤務
- 都内歯科医院にて地域医療に従事(訪問診療含む)
- 都内大型医療法人インプラントセンターにて勤務
- ただなわデンタルクリニック下北沢歯科医院 開院
- ただなわデンタルクリニック祐天寺歯科 開院
修了研修・学会等
- 日本口腔インプラント学会 所属
- 日本顎咬合学会 所属
- 日本審美歯科学会 所属
- UCLAインプラントプログラム 修了
- サイナスリフトオペプログラム 修了
- ノーベル・バイオケア 認定
- オステムインプラント臨床研修歯科医院
- インビザライン矯正認定ドクター

