| 年齢 | 20代 |
|---|---|
| 性別 | 男性 |
| 費用 | ジルコニアクラウン前歯部 176,000円×4本 |
| 治療期間 | 2週間 |
| 治療回数 | 2回 |
| 副作用・リスク | ・欠けたり外れたりする事が稀にあります |
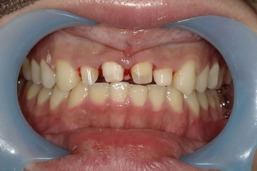
前歯の仮歯をジルコニアに変更した症例
前歯の仮歯をジルコニアに置き換えたいとのことで来院された患者さまです。
前歯の形成

まずは前歯に装着されていた古い仮歯を外し、前歯4本を形成しました。
仮歯の装着

前歯4本の形成後に型取りを行い、再び仮歯を装着しました。
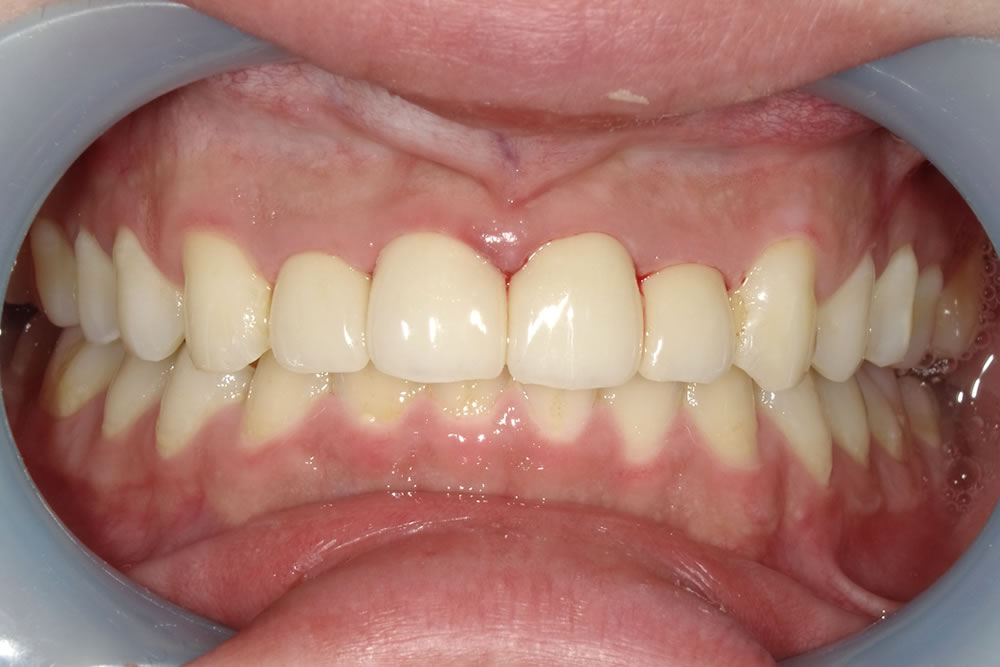
治療完了
完成したジルコニアクラウンを装着し、咬み合わせを調整して治療完了です。
色だけではなく形にもこだわり、理想の前歯をつくることができました。治療後は見た目がキレイになり、大変満足していただいております。


