| 年齢 | 30代 |
|---|---|
| 性別 | 男性 |
| 費用 | インプラント臼歯 407,000円(上部構造含む) 骨造成 165,000円 |
| 治療期間 | 7ヵ月 |
| 治療回数 | 6回 |
| 副作用・リスク | ・経年的に歯茎が下がる事があります ・定期的にメンテナンスを行わず清掃不良の場合、インプラント周囲炎になり脱離する事があります ・骨としっかり結合せず、再オペが必要になる事があります ・糖尿病など、全身状態によっては治療が難しくなります ・骨の量によっては行う事が出来ない可能性があります |
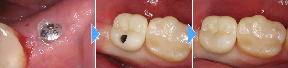
破折歯を抜歯後にインプラントで咬み合わせを改善した症例

こちらは、左下1番奥の歯が噛むと痛いとのことで来院された患者さまです。
レントゲン検査の結果、過去に他院で治療した歯の根っこが割れていることが確認できました。歯根が破折してしまっており、歯を残すことが難しいため、破折歯を抜歯後にインプラントでの治療を選択されました。
インプラント手術の実施

歯根破折のため、骨の欠損範囲が大きく、抜歯後半年ほど時間を置いてからインプラント埋入のオペをしました。インプラント埋入と同時に骨造成(骨を増やす処置)も行いました。
上部構造の装着・治療完了

インプラントと顎骨の結合期間を経て、製作した上部構造を装着。最終的な咬み合わせを調整して治療完了となりました。

術後は他の歯と変わりなくかたいものまでしっかりと噛むことができるようになり、大変満足していただいております。

