| 年齢 | 50代 |
|---|---|
| 性別 | 女性 |
| 費用 | 矯正検査料 33,000円 インビザラインフル 902,000円(上下リテーナー1セット込み) 管理料/調整料 5,500円(2ヵ月に1回) |
| 治療期間 | 2年 |
| 副作用・リスク | 虫歯、歯肉炎、歯の変色、歯根吸収、歯肉退縮、治療期間の延長、知覚過敏、歯の痛み、顎の痛み、発音障害、装置除去時の歯の亀裂、その他随伴症状が生じる可能性があります。 |
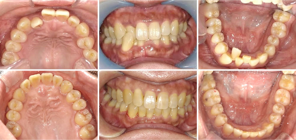
インビザラインで過蓋咬合・前歯の叢生を改善した症例

こちらの患者さまは前歯の反対咬合とガタツキが気になると言う事でインビザラインによる矯正治療を行いました。
歯が重なりあってガタガタしていると歯磨きも困難になる為、歯周病のリスクも高くなります。矯正治療にて歯並びを綺麗にしたことで、見た目の改善に加えて歯を磨きやすくなったと喜んで頂くことができました。
保定装置としてマウスピース型リテーナーを作成しました。

