| 年齢 | 20代 |
|---|---|
| 性別 | 女性 |
| 費用 | 矯正検査料 33,000円 インビザラインフル 935,000円 管理料/調整料 5,500円(2ヵ月に1回) |
| 治療期間 | 1年10ヵ月 |
| 副作用・リスク | 虫歯、歯肉炎、歯の変色、歯根吸収、歯肉退縮、治療期間の延長、知覚過敏、歯の痛み、顎の痛み、発音障害、装置除去時の歯の亀裂、その他随伴症状が生じる可能性があります。 |
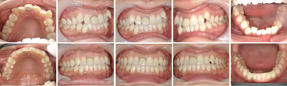
マウスピース矯正(インビザライン)で叢生を改善した症例

歯並びのガタツキ(叢生)、噛み合わせが気になるとの事で来院されました。マウスピース矯正を行い、綺麗な並びになり見た目の改善、噛み合わせの改善を行う事ができました。
保定装置(リテーナー)としてマウスピース型の物を作成しました。

