キッズコーナー・全室完全個室|祐天寺の歯医者|祐天寺歯科

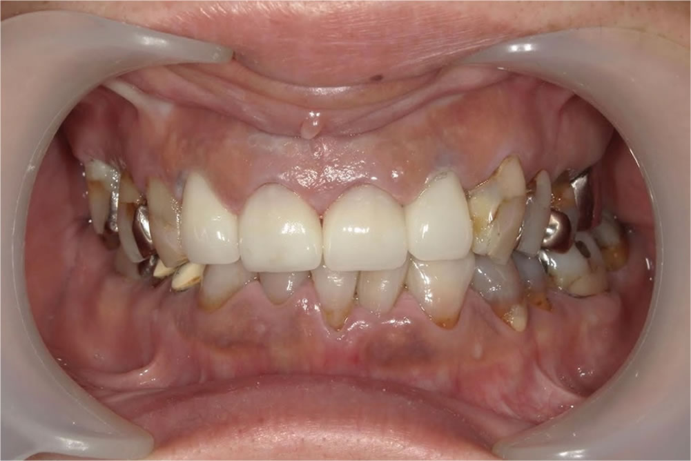
症例

治療前

Before

治療後

After

年齢50代
性別女性
費用セラミック前歯4本 616,000円 ※1本154,000円
治療期間2週間 治療回数
治療回数2回
副作用・リスク・欠けたり外れたりする事が稀にあります

症例:カテゴリー

予約 お問い合わせ