| 年齢 | 30代 |
|---|---|
| 性別 | 男性 |
| 費用 | 9,900円(税込) |
| 治療期間 | 2日 治療回数 2回 |
| 副作用・リスク | ・歯茎の腫れや炎症がある場合は稀に出血や痛みを伴うことがあります。 ・使用するパウダーの成分にアレルギーがある場合はエアフロークリーニングを受けることができません。 |
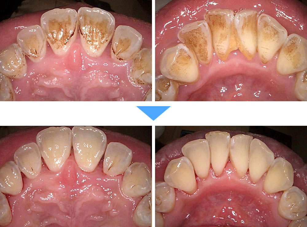
エアフローによって歯の着色を除去した症例

こちらの患者さまは着色が気になるとの事で御来院されました。歯石もついていたのを綺麗にしたいとの事で、まずは保険診療にて歯石取りを行っていきました。当日は歯石取りをした後に出血があったため、別日にてクイックジェットを用いて着色の除去を行いました。着色も取れて綺麗になり満足して頂く事ができました。

