| 年齢 | 20代 |
|---|---|
| 性別 | 男性 |
| 費用 | 矯正検査料 33,000円 インビザラインフル 902,000円(上下リテーナー1セット込み) 管理料/調整料 5,500円(2ヵ月に1回) |
| 治療期間 | 4年半 |
| 副作用・リスク | 虫歯、歯肉炎、歯の変色、歯根吸収、歯肉退縮、治療期間の延長、知覚過敏、歯の痛み、顎の痛み、発音障害、装置除去時の歯の亀裂、その他随伴症状が生じる可能性があります。 |
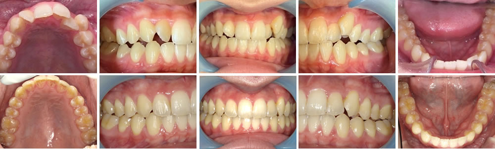
マウスピース矯正(インビザライン)で前歯の歯並びを改善した症例

こちらの患者さまは前歯の並びが気になる、犬歯が磨きにくく汚れが溜まりやすいとのことで矯正治療を希望されました。見た目が気になるとのことでインビザラインでの治療を選択されました。
見た目以外にも機能的な面で、小臼歯が噛み合っておらず当たっている歯の負担が大きいこともあり、その点も矯正治療で改善しています。矯正後は今まで噛み切りにくいと感じていた固い肉や繊維質なものもしっかりと噛み切れるようになり、見た目だけではなく機能的な面でも大変満足いただけました。

