| 年齢 | 40代 |
|---|---|
| 性別 | 女性 |
| 費用 | 上顎:インプラント治療 (上部ジルコニア含め) 407,000円×2本 下顎:ジルコニアクラウン 132,000円×2本 |
| 治療期間 | 4ヵ月 治療回数 8回 |
| 副作用・リスク | ・経年的に歯茎が下がる事があります ・定期的にメンテナンスを行わず清掃不良の場合、インプラント周囲炎になり脱離する事があります ・骨としっかり結合せず、再オペが必要になる事があります ・糖尿病など、全身状態によっては治療が難しくなります ・骨の量によっては行う事が出来ない可能性があります |
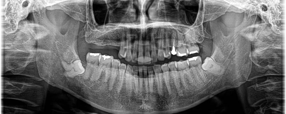
欠損部分に実施したインプラント治療の症例

こちらの患者さまは以前に奥歯を抜歯し、歯のないところにインプラント治療を行いたいという事で来院されました。


下顎の奥歯が挺出してきていましたが、そこは触らずに行いたいとの希望でした。上顎の骨の厚みが確保されていたため、少し深めにインプラント体の埋入を行い、骨の形を整えるという方法で手術を進めました。
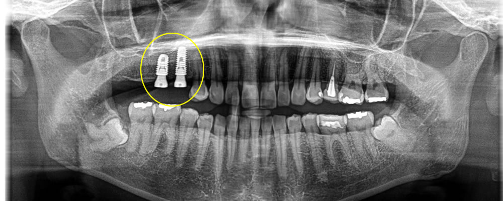
インプラント治療完了後のレントゲン・口腔内写真


3ヵ月待機期間を設け、インプラント体と骨がしっかり結合している事を確認した後、上部のジルコニアの歯を作成し、装着しました。
噛み合わせの回復はもちろん、審美的にも綺麗な歯をいれる事ができ、患者さまに満足して頂けました。

