| 年齢 | 30代 |
|---|---|
| 性別 | 男性 |
| 費用 | 上下顎エアフロー 9,900円(税込) トリートメント 2,200円(税込) 歯周病治療 保険治療 |
| 治療期間 | 2週間 |
| 治療回数 | エアフロー1回・歯周病治療3回 |
| 副作用・リスク | ・歯茎の腫れや炎症がある場合は稀に出血や痛みを伴うことがあります。 ・使用するパウダーの成分にアレルギーがある場合はエアフロークリーニングを受けることができません。 |
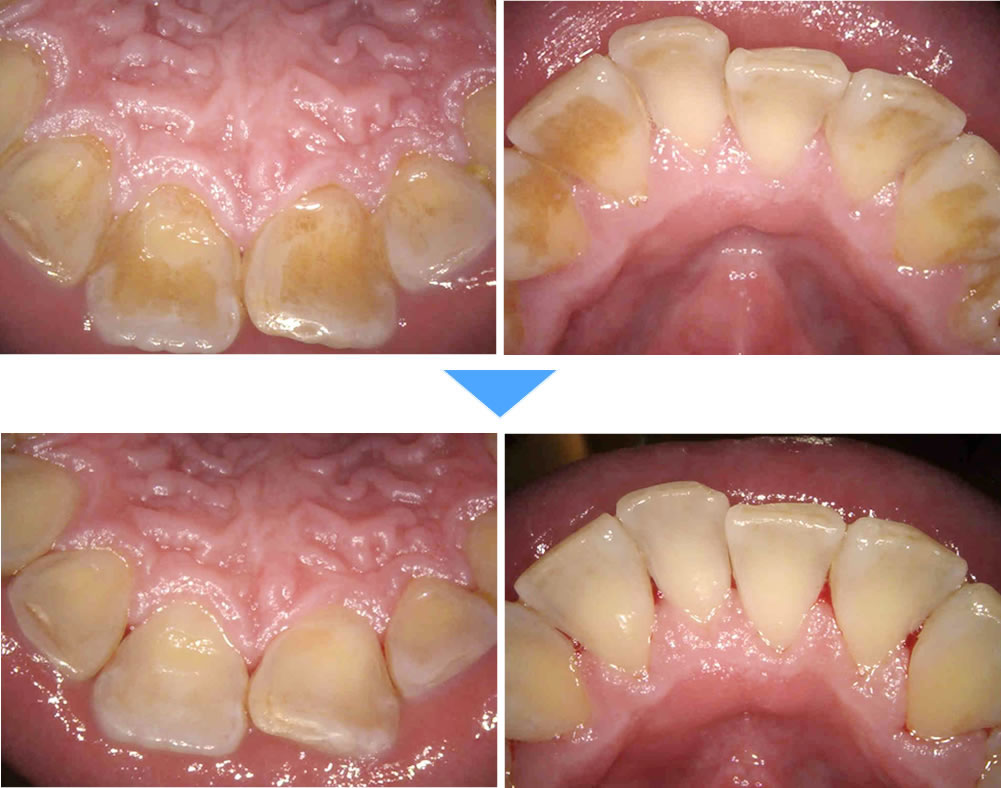
エアフロークリーニングで着色を取り除いた症例

こちらの患者さまは、歯の着色が気になるとの主訴で来院されました。約20年ぶりに歯科を受診したとのことでした。
お茶を良く飲むとのことで、うっすらとした着色が沈着していました。しっかり着色を取りたいとのことで、エアフローでのクリーニングをご希望されました。
まずは歯周病治療を行い、歯茎の状態を整えてからエアフロークリーニングを行いました。持ちをなるべく良くするため、ハイドロキシアパタイト(歯の主成分)配合のトリートメント処置もエアフロー直後に行っています。術後は気になっていた着色が取れて綺麗になり、トリートメントの効果で歯の表面がつるつるして気持ちが良いと、満足いただけました。

