| 年齢 | 40代 |
|---|---|
| 性別 | 男性 |
| 費用 | 9,900円(税込) |
| 治療期間 | 1日 |
| 治療回数 | 1回 |
| 副作用・リスク | ・歯茎の腫れや炎症がある場合は稀に出血や痛みを伴うことがあります。 ・使用するパウダーの成分にアレルギーがある場合はエアフロークリーニングを受けることができません。 |
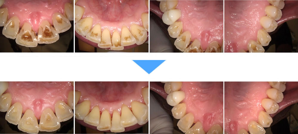
エアフローによるクリーニングで着色汚れを改善した症例

こちらの患者さまは、歯の着色・黄ばみを改善したいとの主訴で来院されました。エアフローによるクリーニングで着色汚れ・黄ばみを改善しました。気にされていた着色汚れを綺麗に落とす事ができ満足して頂く事ができました。

