| 年齢 | 30代 |
|---|---|
| 性別 | 女性 |
| 費用 | インプラント小臼歯 429,000円(税込) |
| 治療期間 | 3ヵ月 |
| 治療回数 | 5回 |
| 副作用・リスク | ・経年的に歯茎が下がる事があります ・定期的にメンテナンスを行わず清掃不良の場合、インプラント周囲炎になり脱離する事があります ・骨としっかり結合せず、再オペが必要になる事があります ・糖尿病など、全身状態によっては治療が難しくなります ・骨の量によっては行う事が出来ない可能性があります |
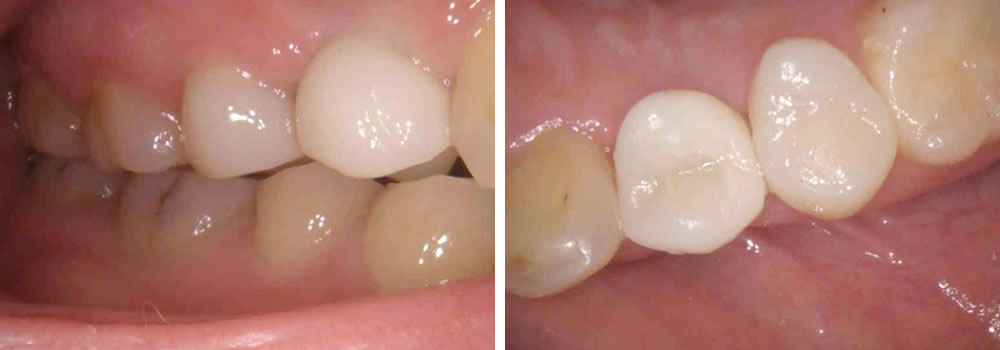
保存不可能な歯を抜歯後にインプラント治療を実施した症例

こちらの患者さまは、右上の第一小臼歯のむし歯を放置してしまい、笑った時の見た目が気になるとのことで来院されました。
むし歯により歯の頭は無くなり、レントゲン上では根っこが残っていることが確認できましたが、放置していた期間が長すぎたため、歯茎がかぶってしまい歯を残すことができないという診断になり、抜歯をすることになりました。
より自然な見た目をご希望されたためインプラントでの治療を選択されました。


オペは傷口を最小限に抑えたため、痛みはほぼ出ず、痛み止めもほとんど服用せず落ち着きました。
上部構造の装着・治療完了


インプラントと顎骨がきちんと結合していることを確認後、上部構造を装着して治療完了です。治療後は固いものも問題なく噛むことができ、何より見た目が普通の歯とほぼ変わらず、大変満足していただくことができました。

