| 年齢 | 20代 |
|---|---|
| 性別 | 女性 |
| 費用 | 矯正検査料 33,000円 インビザラインフル 902,000円(上下リテーナー1セット込み) 管理料/調整料 5,500円(2ヵ月に1回) |
| 治療期間 | 2年2ヵ月 |
| 副作用・リスク | 虫歯、歯肉炎、歯の変色、歯根吸収、歯肉退縮、治療期間の延長、知覚過敏、歯の痛み、顎の痛み、発音障害、装置除去時の歯の亀裂、その他随伴症状が生じる可能性があります。 |
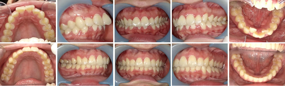
インビザラインで出っ歯・叢生を改善した症例

こちらの患者さまは前歯の出っ歯と下の歯のガタツキ(叢生)が気になるとの事でインビザライン矯正を希望されご来院されました。
マウスピース矯正(インビザライン)で前歯の出っ歯と下の歯ガタツキ(叢生)を改善しました。保定装置はマウスピース型リテーナーを作成しました。
歯並びも綺麗になり、見た目の改善もされ満足していただく事ができました。

