| 年齢 | 40代 |
|---|---|
| 性別 | 男性 |
| 費用 | ジルコニア矯正3本 440,000円 |
| 治療期間 | 1ヵ月 |
| 治療回数 | 3回 |
| 副作用・リスク | ・欠けたり外れたりする事が稀にあります |
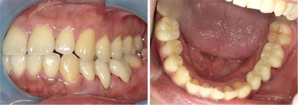
セラミック矯正で反対咬合を改善した症例
左下の歯が反対咬合になっているのが気になるので治していきたいとの事で、矯正治療ではなく早く終わる事ができるジルコニア矯正を選択され治療を開始しました。

まずは歯の形を整えて理想の噛み合わせになるように即日で仮歯を作成しました。
次に変形の少ないシリコン印象材にて型取りを行いジルコニアの歯を作成していきます。

セラミッククラウンの装着・治療完了
歯が完成したら接着を行うための下処置を行いました。この時に使う材料として10年後の劣化がほぼ無い材料で処置を行います。

最後にジルコニアをレジンセメントにて接着をしていきます。結果、歯並び、噛み合わせ、色全て完璧に仕上がり満足していただく事ができました。

