| 年齢 | 20代 |
|---|---|
| 性別 | 女性 |
| 費用 | 矯正検査料 33,000円 インビザラインフル 902,000円 管理料/調整料 5,500円(2ヵ月に1回) |
| 治療期間 | 2年 |
| 副作用・リスク | 虫歯、歯肉炎、歯の変色、歯根吸収、歯肉退縮、治療期間の延長、知覚過敏、歯の痛み、顎の痛み、発音障害、装置除去時の歯の亀裂、その他随伴症状が生じる可能性があります。 |
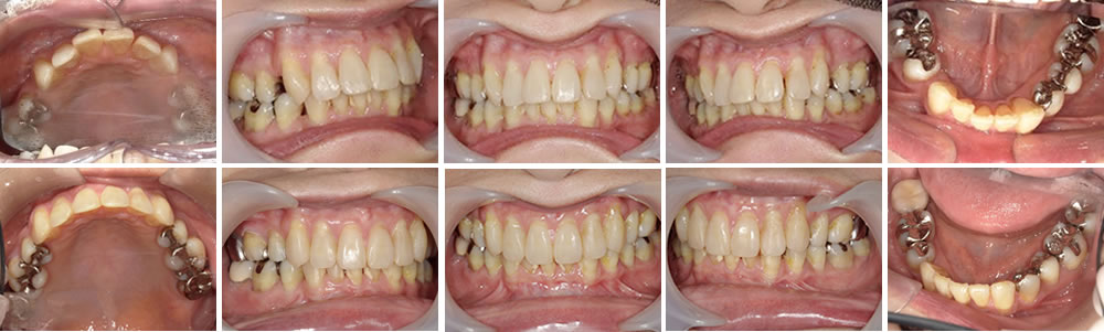
インビザラインで空隙・歯並びを改善した症例

こちらの患者さまは、他院にて矯正を行おうと抜歯を行ったが、ワイヤー矯正ではなくマウスピース矯正を行いたいという事で当院を受診されました。
上下の歯を後ろに下げるために抜歯を行ったという事で、その計画に添い、マウスピース矯正にて矯正治療を行いました。結果、隙間も塞がり綺麗な歯並びになる事ができました。
保定装置としてはマウスピース型リテーナーを作成しました。

