| 年齢 | 50代 |
|---|---|
| 性別 | 女性 |
| 費用 | セラミックインレー 55,000円 |
| 治療期間 | 2週間 |
| 治療回数 | 3回 |
| 副作用・リスク | ・欠けたり外れたりする事が稀にあります |
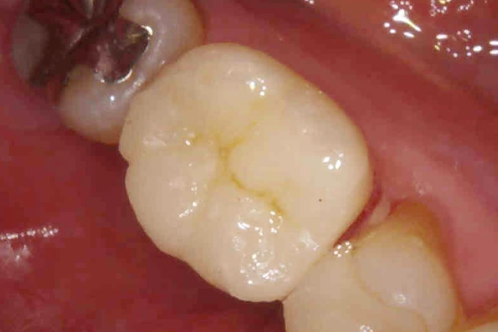
つめ物が欠けた部分をセラミックインレーで修復した症例
こちらの患者さまは、過去に他院で治療した右下奥から二番目の歯が欠けたとのことで来院されました。
当該歯はコンポジットレジンで治療していたようです。かなり大きな範囲を治療しており、大きな範囲のレジン治療はむし歯の再発リスクが高くなるという特徴があります。

むし歯治療の実施

古いレジンを除去したところ、やはり中が広範囲でむし歯になっていました。むし歯を取り除き、神経を保護する処置も同時に行いました。
セラミックインレー装着・治療完了
残っている歯の量が少なかったですが、患者さまと相談し、強度の高いセラミックインレーを装着して治療完了となりました。
術後は奥歯でかたいものもしっかりと噛むことができ、見た目も治療前より自然な仕上がりで、審美的にも大変満足していただけました。


