| 年齢 | 40代 |
|---|---|
| 性別 | 女性 |
| 費用 | インプラント大臼歯部 407,000円(上部構造含む) 骨造成 132,000円 |
| 治療期間 | 約4ヵ月 |
| 治療回数 | 6回 |
| 副作用・リスク | ・経年的に歯茎が下がる事があります ・定期的にメンテナンスを行わず清掃不良の場合、インプラント周囲炎になり脱離する事があります ・骨としっかり結合せず、再オペが必要になる事があります ・糖尿病など、全身状態によっては治療が難しくなります ・骨の量によっては行う事が出来ない可能性があります |
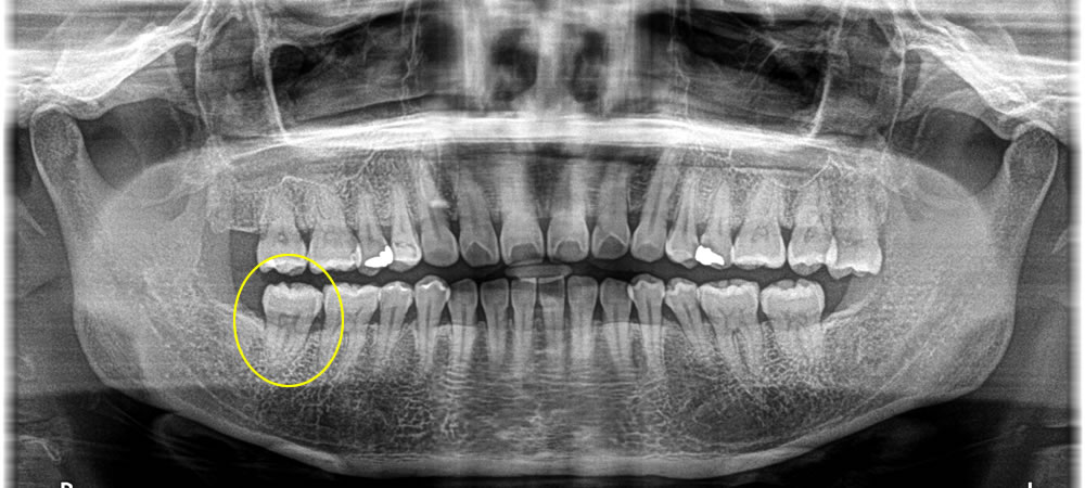
歯根破折した歯を抜歯してインプラントで治療した症例

こちらは、右下一番奥の歯が噛むと痛いとのことで来院された患者さまです。
レントゲン、口腔内検査の結果、歯根に破折線がみられたため、患者様と相談し、破折した歯を抜いてインプラント治療を行う計画を立てました。
破折歯の抜歯・インプラント治療の実施

歯根が破折した歯をを抜歯し、計画通りの位置へインプラントを埋入しました。インプラントの持ちをなるべく良くするため、骨造成も同時に行っています。

上部構造の装着・治療完了

顎骨とインプラントの結合を確認後、上部構造を作製・装着して治療完了となりました。術後は痛みが出る前と同じように奥歯でしっかりと噛むことができるようになり、大変満足していただいております。

