| 年齢 | 30代 |
|---|---|
| 性別 | 女性 |
| 費用 | 矯正検査料 33,000円 インビザラインフル 902,000円(上下リテーナー1セット込み) 管理料/調整料 5,500円(2ヵ月に1回) |
| 治療期間 | 1年8ヵ月 |
| 副作用・リスク | 虫歯、歯肉炎、歯の変色、歯根吸収、歯肉退縮、治療期間の延長、知覚過敏、歯の痛み、顎の痛み、発音障害、装置除去時の歯の亀裂、その他随伴症状が生じる可能性があります。 |
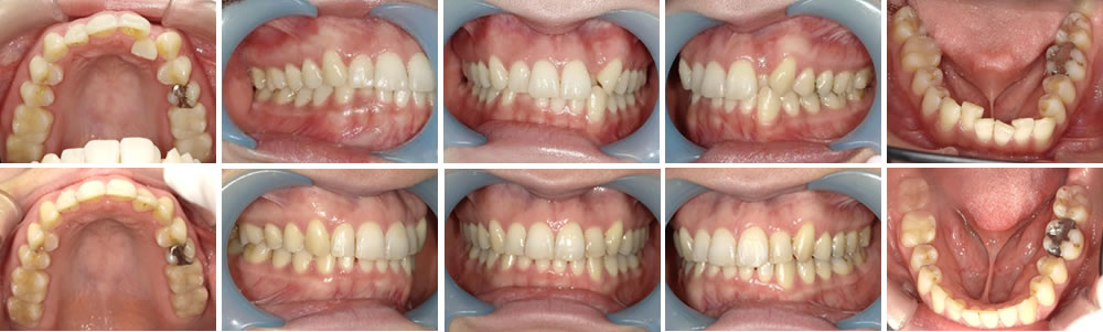
インビザラインで前歯の反対咬合・咬み合わせを改善した症例

こちらの患者さまは、「前歯が反対咬合になっているところがある」「見た目を綺麗にして噛み合わせを改善したい」との主訴でご来院頂きました。
マウスピース矯正(インビザライン)で歯並び・咬み合わせを改善しました。保定装置はマウスピース型リテーナーを作成しました。笑顔が綺麗になり、満足していただく事ができました。

