| 年齢 | 20代 |
|---|---|
| 性別 | 男性 |
| 費用 | 矯正検査料 33,000円 インビザラインフル 902,000円 管理料/調整料 5,500円(2ヵ月に1回) |
| 治療期間 | 1年8ヵ月 |
| 副作用・リスク | 虫歯、歯肉炎、歯の変色、歯根吸収、歯肉退縮、治療期間の延長、知覚過敏、歯の痛み、顎の痛み、発音障害、装置除去時の歯の亀裂、その他随伴症状が生じる可能性があります。 |
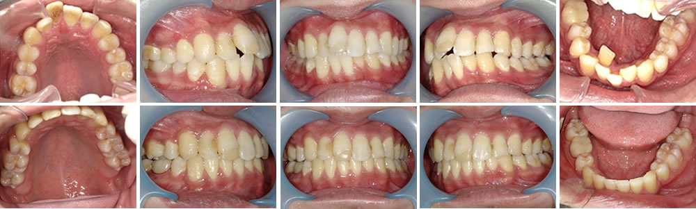
インビザラインで前歯のガタツキ・咬み合わせを改善した症例

こちらの患者さまは、前歯のガタツキ、咬み合わせを治したいとの事で来院されました。患者さまと相談し、インビザラインのフルパッケージで矯正治療を行いました。側方拡大とIPRによってスペースメイキングを行ったことで歯を抜く事なく、綺麗な歯並びにする事ができました。
保定装置としては、マウスピース型リテーナーを作成しました。

