| 年齢 | 30代 |
|---|---|
| 性別 | 男性 |
| 費用 | インプラント治療臼歯2本 (上部ジルコニア含め) 407,000円×2本 骨造成2本 143,000円×2本 |
| 治療期間 | 5ヵ月 治療回数 8回 |
| 副作用・リスク | ・経年的に歯茎が下がる事があります ・定期的にメンテナンスを行わず清掃不良の場合、インプラント周囲炎になり脱離する事があります ・骨としっかり結合せず、再オペが必要になる事があります ・糖尿病など、全身状態によっては治療が難しくなります ・骨の量によっては行う事が出来ない可能性があります |
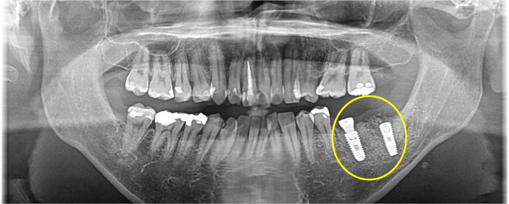
膿が溜まった歯を抜歯後にインプラントで治療した症例

こちらの患者さまは左下の奥歯が痛く、他院にて保存する事ができないと診断され来院されました。
CT検査にて根の先に大きく膿が溜まり、骨が溶けてしまっている事が確認されました。1番奥の歯と2番目の歯にも確認されましたが、患者さまのご希望により、1番奥の歯のみを抜歯し、インプラント治療を行う事になりました。

まず歯を抜き、中の膿を綺麗に取り除いた後に即時でインプラントを埋入し、骨の無くなってしまっている場所に骨造成を行いました。こちらは減張切開を行い、創の完全閉鎖をしました。

固定もしっかりと得る事ができ、4ヶ月置いて進めていく予定でしたが、途中で1つ前の歯も痛みだしたため、やはりこちらの歯も抜いてインプラント治療を行いたいという事になりました。


1つ前の歯も抜歯後に中を綺麗にし、インプラント埋入、骨造成までを1度のオペで行っていきました。こちらはインプラントの蓋が外に出るような形にして縫合しました。
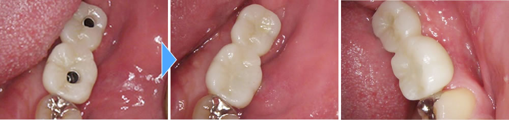
上部構造の装着/治療完了
このオペが終わってから4ヶ月置き、しっかりと骨とインプラント体が結合している事を確認した後、上部の歯を作成していきました。


結果、綺麗な歯が出来上がりしっかりと噛む事ができるようになり、満足して頂く事ができました。

