| 年齢 | 30代 |
|---|---|
| 性別 | 男性 |
| 費用 | 9,900円(税込) |
| 治療期間 | 1日 |
| 治療回数 | 1回 |
| 副作用・リスク | ・歯茎の腫れや炎症がある場合は稀に出血や痛みを伴うことがあります。 ・使用するパウダーの成分にアレルギーがある場合はエアフロークリーニングを受けることができません。 |
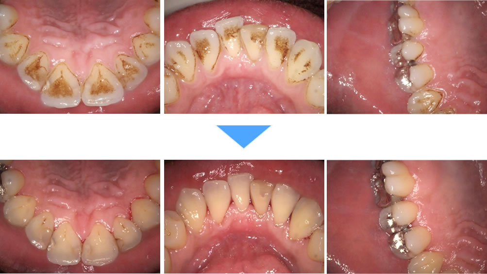
エアフローによる低侵襲な歯面清掃の症例

こちらの患者さまは、歯の着色と落としたいとの主訴で来院されました。エアフローを使用し、上下顎の歯面清掃を実施いたしました。結果、歯面に付着していた着色汚れが落ちて綺麗になりました。また、着色でわからなかった虫歯も発見する事ができ、今後は虫歯の治療を行っていく事になりました。

