| 年齢 | 50代 |
|---|---|
| 性別 | 女性 |
| 費用 | 前歯ジルコニアブリッジ6本セット 924,000円 ※1本154,000円 |
| 治療期間 | 4ヵ月 治療回数 5回 |
| 副作用・リスク | ・欠けたり外れたりする事が稀にあります |
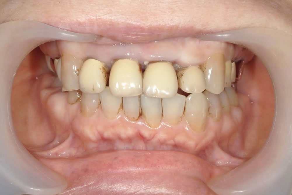
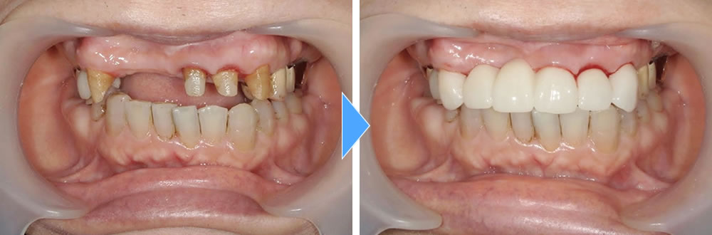
ジルコニアセラミックブリッジで前歯の見た目を改善した症例

こちらの患者さまは前歯が気になるとの事で来院されました。患者さまと相談し、ジルコニアクラウンを用いて綺麗にしていく事になりました。

CT検査により、前歯2本の根の先に大きな嚢胞が確認できました。大学病院で保存治療を行いましたが、予後が悪いため、抜歯を行い即日で仮歯を作成しました。

傷口や歯茎が落ち着くのを2ヵ月待ち、最終的なジルコニアブリッジを作成しました。ジルコニアブリッジを装着し、咬み合わせを調整して治療完了です。綺麗な前歯になり患者さまに満足して頂けました。

