| 年齢 | 60代 |
|---|---|
| 性別 | 女性 |
| 費用 | ジルコニアクラウン 132,000円 |
| 治療期間 | 2週間 |
| 治療回数 | 2回 |
| 副作用・リスク | ・欠けたり外れたりする事が稀にあります |
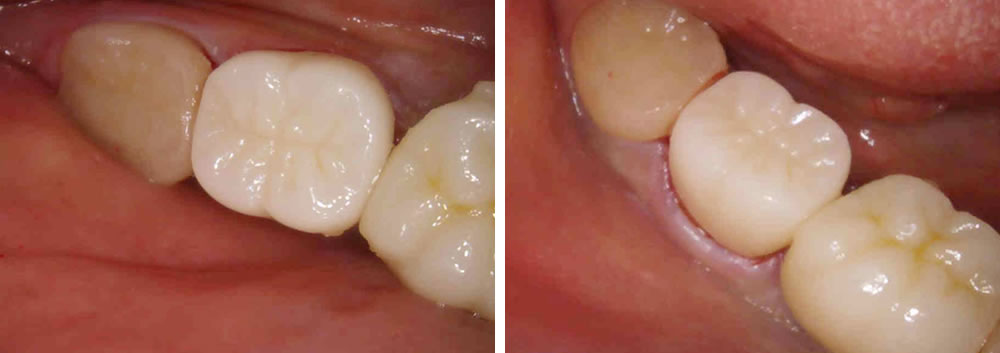
つめ物が取れた部分をジルコニアクラウンで修復した症例
こちらの患者さまはつめ物が取れてしまったとのことで来院されました。
つめ物は無くしてしまったとのことで、強度が強く、見た目が綺麗な新しい補綴物を入れたいとのご希望があったため、患者さまと相談の結果、ジルコニアクラウンにて治療を行う計画を立てました。

元々は部分的なつめ物が入っていましたが、古い接着剤や中で出来てしまったむし歯を取り除いたところ、残っている歯が少なくなってしまったため、クラウン(被せもの)タイプでの治療をおすすめしました。
ジルコニアクラウンの装着・治療完了

完成したジルコニアクラウンを装着し、最終的な咬み合わせを調整して治療完了となりました。クラウンタイプにすることで、前回つけていたものよりも見た目も強度も強くなり、大変満足していただきました。

