| 年齢 | 40代 |
|---|---|
| 性別 | 女性 |
| 費用 | セラミックインレー 55,000円 |
| 治療期間 | 2週間 |
| 治療回数 | 2回 |
| 副作用・リスク | ・欠けたり外れたりする事が稀にあります |
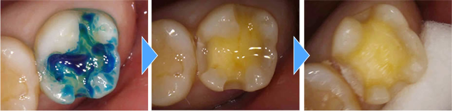
二次むし歯を治療後にセラミックインレーで修復した症例
こちらの症例は、過去に他院にてプラスチックで治療された部位が二次むし歯になっていたため、治療を行った患者さまです。
プラスチックでの治療は小さなむし歯であれば保険診療にて簡易的に治療が可能ですが、完全にむし歯を取り切ったとしても、中でむし歯が再発しやすいというのがデメリットです。
今回はむし歯を取り切った範囲の大きさやむし歯の再発リスクをなるべく下げるため、セラミックインレーでの治療を計画しました。

虫歯治療の実施

むし歯検知液を使用し、むし歯がしっかりと取り切れたかどうか確認後、神経の保護をしてから型取りをしました。
セラミックインレーの装着・治療完了
完成したセラミックインレーを装着し、咬み合わせを調整して治療完了です。
セラミック治療では、色を患者さまの歯の色に合わせてお作りすることが出来るので、より自然な仕上がりになります。
治療後は治療前と変わらず問題なく噛むことができ、大変満足していただいております。


