| 年齢 | 30代 |
|---|---|
| 性別 | 男性 |
| 費用 | 矯正検査料 33,000円 インビザラインフル 902,000円 管理料/調整料 5,500円(2ヵ月に1回) |
| 治療期間 | 8ヵ月 |
| 副作用・リスク | 虫歯、歯肉炎、歯の変色、歯根吸収、歯肉退縮、治療期間の延長、知覚過敏、歯の痛み、顎の痛み、発音障害、装置除去時の歯の亀裂、その他随伴症状が生じる可能性があります。 |
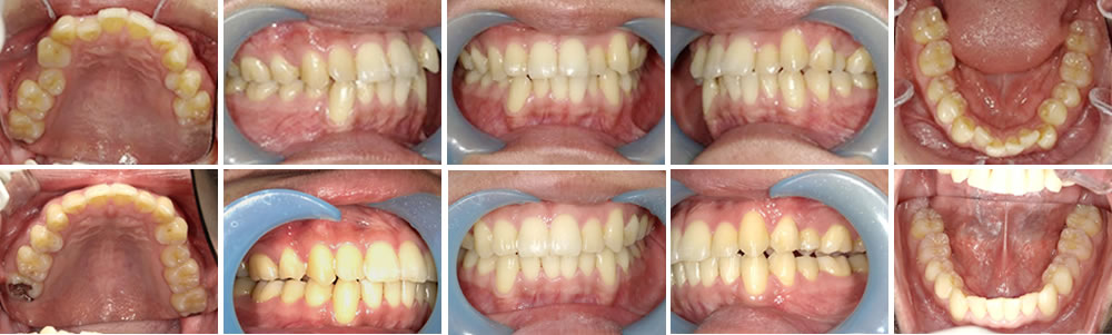
インビザラインで前歯のガタツキ(叢生)を改善した症例

こちらの患者さまは、前歯のガタツキ(叢生)を綺麗にしたいとの事で矯正治療を行いました。臼歯も舌側に傾斜していたので、後戻りしにくい歯並びにするため、傾斜の改善も同時に行いました。
主訴である前歯のガタツキ、臼歯の傾斜が改善され、患者さまに満足して頂く事ができました。
歯並びの改善後は保定装置としてはマウスピース型リテーナーを作成しました。

