| 年齢 | 50代 |
|---|---|
| 性別 | 女性 |
| 費用 | インプラント治療 (上部ジルコニア含め) 407,000円 骨造成 110,000円×2 |
| 治療期間 | 5ヵ月 治療回数 5回 |
| 副作用・リスク | ・経年的に歯茎が下がる事があります ・定期的にメンテナンスを行わず清掃不良の場合、インプラント周囲炎になり脱離する事があります ・骨としっかり結合せず、再オペが必要になる事があります ・糖尿病など、全身状態によっては治療が難しくなります ・骨の量によっては行う事が出来ない可能性があります |
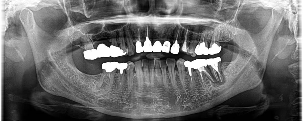
痛みのある奥歯をインプラントで治療した症例
▼痛みを感じる保存不可能な奥歯を抜歯後、インプラントで治療した症例をご紹介します。

こちらの患者さまは、奥歯の痛みが強く残す事ができないと他院にて診断され、インプラント治療希望で当院へお越し頂きました。

一番奥の歯だけではなく手前の歯にも感染が拡がっていたため、2本の歯を抜歯後にインプラント1本を埋入し、骨が無くなってしまっている部分に骨を作る処置を一度のオペで行いました。
インプラント治療完了後のレントゲン・口腔内写真


4ヵ月待機期間を設け、しっかりと骨と結合している事を確認した後に型取りを行いました。その後、完成した上部のジルコニアの人工歯を装着して治療完了です。審美面・咬合も回復し、患者さまに満足していただく事ができました。

