キッズコーナー・全室完全個室|祐天寺の歯医者|祐天寺歯科

症例

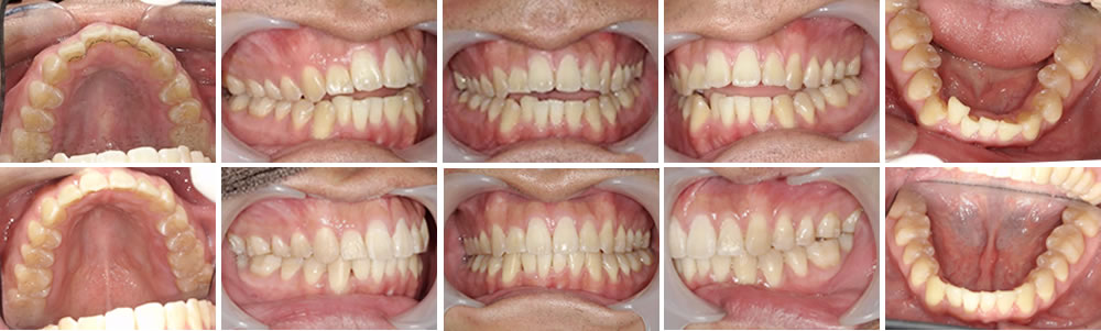
インビザラインで後戻りした歯並びを改善した症例

こちらの患者さまは、過去に矯正した歯が後戻りして前歯が噛み合わなくなってしまい、全体的な歯並びがガタガタになったとのことで来院されました。患者さまと相談し、マウスピース型矯正装置「インビザラインフル」で全体的な歯並びを改善しました。

矯正終了後は歯の後戻りを防ぐため、保定装置(リテーナー)としてマウスピース型の物を作成しました。

治療前

Before

年齢20代
性別男性
費用矯正検査料 33,000円
インビザラインフル 902,000円
管理料/調整料 5,500円(2ヵ月に1回)
治療期間2年6ヵ月
副作用・リスク虫歯、歯肉炎、歯の変色、歯根吸収、歯肉退縮、治療期間の延長、知覚過敏、歯の痛み、顎の痛み、発音障害、装置除去時の歯の亀裂、その他随伴症状が生じる可能性があります。

症例:カテゴリー

予約 お問い合わせ