| 年齢 | 20代 |
|---|---|
| 性別 | 女性 |
| 費用 | 矯正検査料 33,000円 インビザラインフル 902,000円 管理料/調整料 5,500円(2ヵ月に1回) |
| 治療期間 | 1年4ヵ月 |
| 副作用・リスク | 虫歯、歯肉炎、歯の変色、歯根吸収、歯肉退縮、治療期間の延長、知覚過敏、歯の痛み、顎の痛み、発音障害、装置除去時の歯の亀裂、その他随伴症状が生じる可能性があります。 |
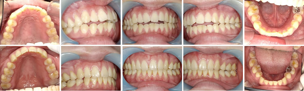
インビザラインで開咬を改善した症例

こちらの患者さまは、口を閉じても前歯が閉じなく、唇も少し開いた状態になってしまうという事で、矯正治療を行いました。結果、しっかりと口を閉じる事ができるようになり、口の中が乾燥する事も抑える事ができるようになりました。
歯の後戻りを防止するため、マウスピース型リテーナーで保定処置を行いました。

