| 年齢 | 50代 |
|---|---|
| 性別 | 女性 |
| 費用 | インプラント治療(上部ジルコニア含め) 407,000円×2 |
| 治療期間 | 約3ヵ月 |
| 治療回数 | 5回 |
| 副作用・リスク | ・経年的に歯茎が下がる事があります ・定期的にメンテナンスを行わず清掃不良の場合、インプラント周囲炎になり脱離する事があります ・骨としっかり結合せず、再オペが必要になる事があります ・糖尿病など、全身状態によっては治療が難しくなります ・骨の量によっては行う事が出来ない可能性があります |
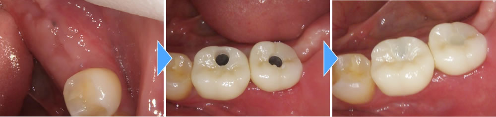
他院で抜歯した部分に実施したインプラント治療の症例

こちらの患者さまは、他院で抜歯された部位に歯を入れたいとのことで来院されました。入れ歯は抵抗があるとのことで治療法を提案したところ、インプラント治療を希望されました。
インプラント治療の実施~治療完了

大臼歯2本分欠損していたため、しっかりと噛み合うよう、インプラントも2本埋入しました。

埋入したインプラントと顎骨がしっかりと結合した後、上部構造を製作・装着して治療完了となりました。治療後は、もともとあった歯と同じように違和感なく噛めるようになり、大変満足していただいております。

