| 年齢 | 50代 |
|---|---|
| 性別 | 男性 |
| 費用 | 下顎オールオン8 上部ジルコニアクラウン 3,300,000円 |
| 治療期間 | 5ヵ月 |
| 治療回数 | 10回 |
| 副作用・リスク | ・経年的に歯茎が下がる事があります ・定期的にメンテナンスを行わず清掃不良の場合、インプラント周囲炎になり脱離する事があります ・骨としっかり結合せず、再オペが必要になる事があります ・糖尿病など、全身状態によっては治療が難しくなります ・骨の量によっては行う事が出来ない可能性があります |
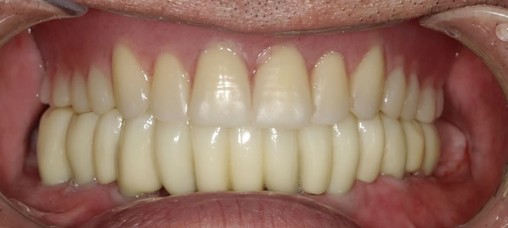
入れ歯とオールオン8による全顎治療の症例
こちらの患者さまは、噛むことができないのでしっかりと噛めるようになりたいとの事で来院されました。

まずはカウンセリングを行い、入れ歯、インプラントの説明を行ったところ、上の歯は骨が無く、期間が長くかかってしまうという事で入れ歯を希望、下の歯はインプラント治療を希望されました。
現在残っている歯は全てグラグラに揺れており、検査をしたところ保存する事が困難と診断されました。
抜歯・インプラント埋入手術の実施
歯を抜いて即日インプラント埋入、骨造成を行い、治療用入れ歯を斬感的にセットしました。
インプラントの本数としては、強度的にも心配という事で8本を希望されました。

上部構造の作成・装着

埋入後はフィクスチャーと、骨がオステオインテグレーションするのを待ち、しっかりとくっついている事を確認し、上部に歯を作成していきました。
治療完了


噛み合わせや歯並び、歯の長さを測り、審美的に綺麗になるように作成する事ができました。結果、見た目の改善、咬合の改善をする事ができ、しっかりと食事をする事ができるようになりました。

