| 年齢 | 40代 |
|---|---|
| 性別 | 男性 |
| 費用 | 歯石取り 保険診療 上下エアフロー 9,900円(税込) |
| 治療期間 | 1日 |
| 治療回数 | 1歯周病治療約3回、エアフロー1回 |
| 副作用・リスク | ・歯茎の腫れや炎症がある場合は稀に出血や痛みを伴うことがあります。 ・使用するパウダーの成分にアレルギーがある場合はエアフロークリーニングを受けることができません。 |
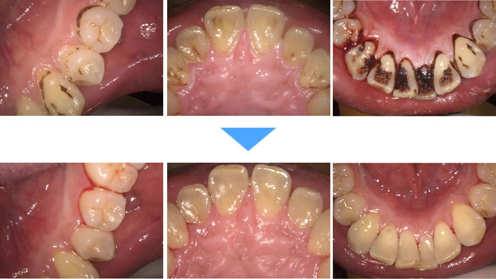
エアフローによるクリーニングで着色を除去した症例

こちらの患者さまは、クリーニング希望で数十年ぶりに歯科医院に来院されました。
コーヒーを良く飲み、喫煙習慣もある患者さまでクリーニング自体が久々なこともあり、歯石と着色が層になって沈着していました。
歯周病治療を数回とエアフローで沈着物をすべて除去しました。治療後は着色や歯石が硬くなる前に定期的なクリーニングを行い、キレイな状態を保っています。

